Rat Oligodendrocyte Precursor Cells
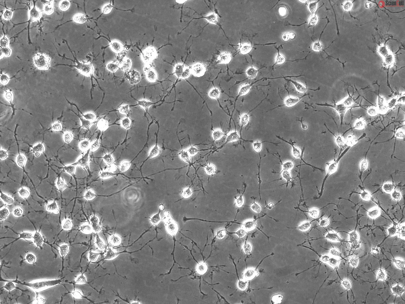
ROPC from ScienCell Research Laboratories are isolated from postnatal day 2 CD® IGS rat brain. ROPC are cryopreserved at P0 and delivered frozen. Each vial contains >1 x 106 cells in 1 ml volume.
ROPC from ScienCell Research Laboratories are isolated from postnatal day 2 CD® IGS rat brain. ROPC are cryopreserved at P0 and delivered frozen. Each vial contains >1 x 106 cells in 1 ml volume.