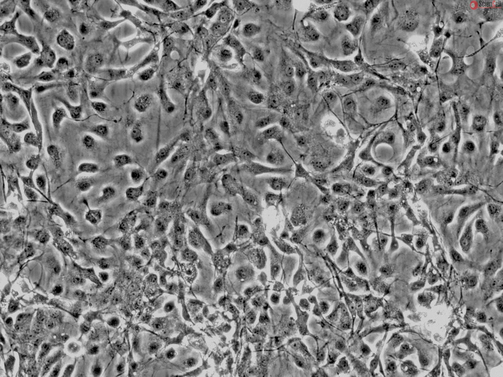
Rat Astrocytes-cerebellar
Isolated from CD® IGS rat cerebellum. RA-c are cryopreserved at P0 and delivered frozen. Each vial contains >5 x 105 cells in 1 ml volume.
Related Products
Check items to add to the cart or