Mouse Pulmonary Alveolar Epithelial Cells from CD-1
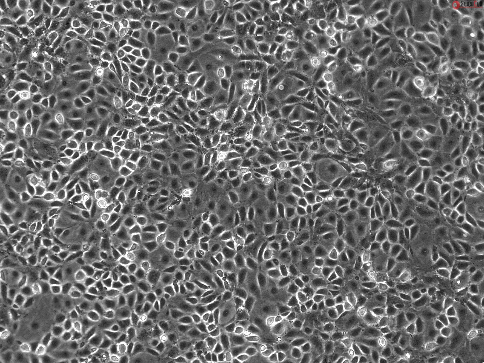
MPAEpiC from ScienCell Research Laboratories are isolated from CD-1 mouse lung. MPAEpiC are cryopreserved at passage one and delivered frozen. Each vial contains >1 x 106 cells in 1 ml volume.
MPAEpiC from ScienCell Research Laboratories are isolated from CD-1 mouse lung. MPAEpiC are cryopreserved at passage one and delivered frozen. Each vial contains >1 x 106 cells in 1 ml volume.