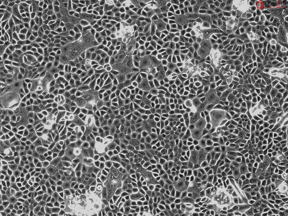
Human Bronchial Epithelial Cells - adult
HBEpiC-a from ScienCell Research Laboratories are isolated from adult human bronchi. HBEpiC-a are cryopreserved at passage one and delivered frozen. Each vial contains >5 x 105 cells in 1 ml volume.
Related Products
Check items to add to the cart or